Профессионалы с большим опытом сделают Вашу улыбку сияющей и здоровой
Ваша улыбка — наша забота
Запишитесь к нам в клинику для создания блестящей улыбки
Наши услуги
Какие стоматологические услуги мы предлагаем

Отбеливание зубов
Голливудская белоснежная улыбка качественно и безопасно в нашей стоматологии.

Диагностика зубов
Диагностика зубов простой и эффективный способ избежать любое заболевание зубного ряда.


Ортодонтия
Это раздел стоматологии изучающий исправление прикуса зубов и неправильного положения во рту отдельных зубов.

Протезирование
Мы выполняем современые ортопедических работы - металлокерамические конструкции, безметалловая керамика, виниры.

Терапия
Квалифицированное лечение зубов с применением безболезненных технологий. Лечение кариеса зубов, его осложнений.
О нас
Лучшая стоматологическая клиника, которой можно доверять
Стоматологическая клиника «Леда Плюс» выражает вам признательность, за то, что нашли время посетить наш сайт. Мы желаем вам и вашей семье здоровых зубов, ярких улыбок и хорошего настроения.
Полное стоматологическое обслуживание
Доступная цена
Мы предлагаем доступные цены за высокое качество лучения зубов.
Онлайн-встречи
Годы опыта
Врачи и персонал
FAQ
Полезная информация
Во избежании болезней заболеваний полости рта, и их преждевременного нахождения, рекомендуется посещать стоматолога, раз в полгода.
У каждого индивидуально, поэтому частоту приемов Вам назначит ваш лечащий врач. Но систематическое проведение профессиональной гигиены полости рта поможет вам избежать дальнейших проблем связанных с зубами.
Во время чистки зубов ваши десна кровоточат? Зубы стали реагировать на сладкое, кислое, горячее, холодное? На трех или более зубах у вас уже к 20-и годам стоят пломбы? Значит уже горит красный свет, обязательно обратитесь к стоматологу.
Обязательно надо чистить зубы два раза в день, желательно полоскать полость рта после каждого приема еды . Следовать всем рекомендациям вашего личного стоматолога. Раз в год надо проходить курс профессиональной гигиены полости рта.
Лучший из лучших
Оборудование высокого класса
Каждый кабинет нашей клиники оснащен немецким оборудованием высокого качества, безопасностью в работе, безупречным дизайном рабочих мест, надежностью и эргономичностью.
Отзывы
Что о нас говорят

Премного благодарна замечательному врачу за внимание, заботу, человечность и первоклассное лечение !

Внимательные врачи. Доступные цены.

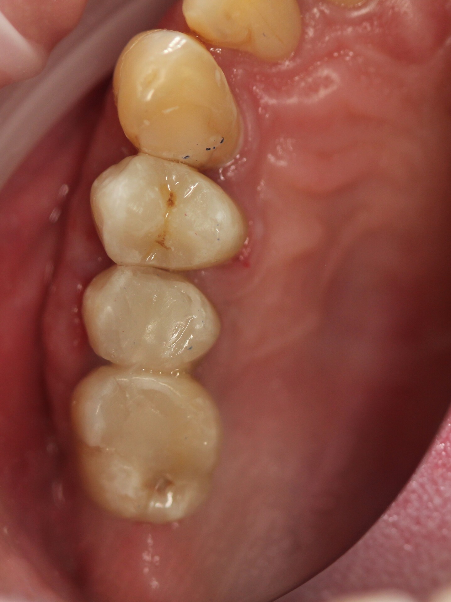
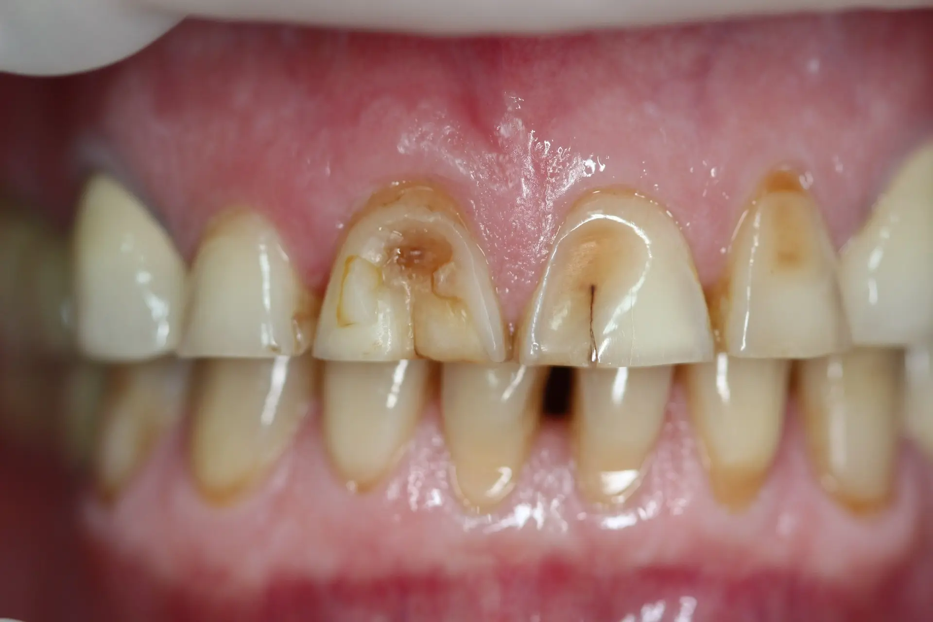
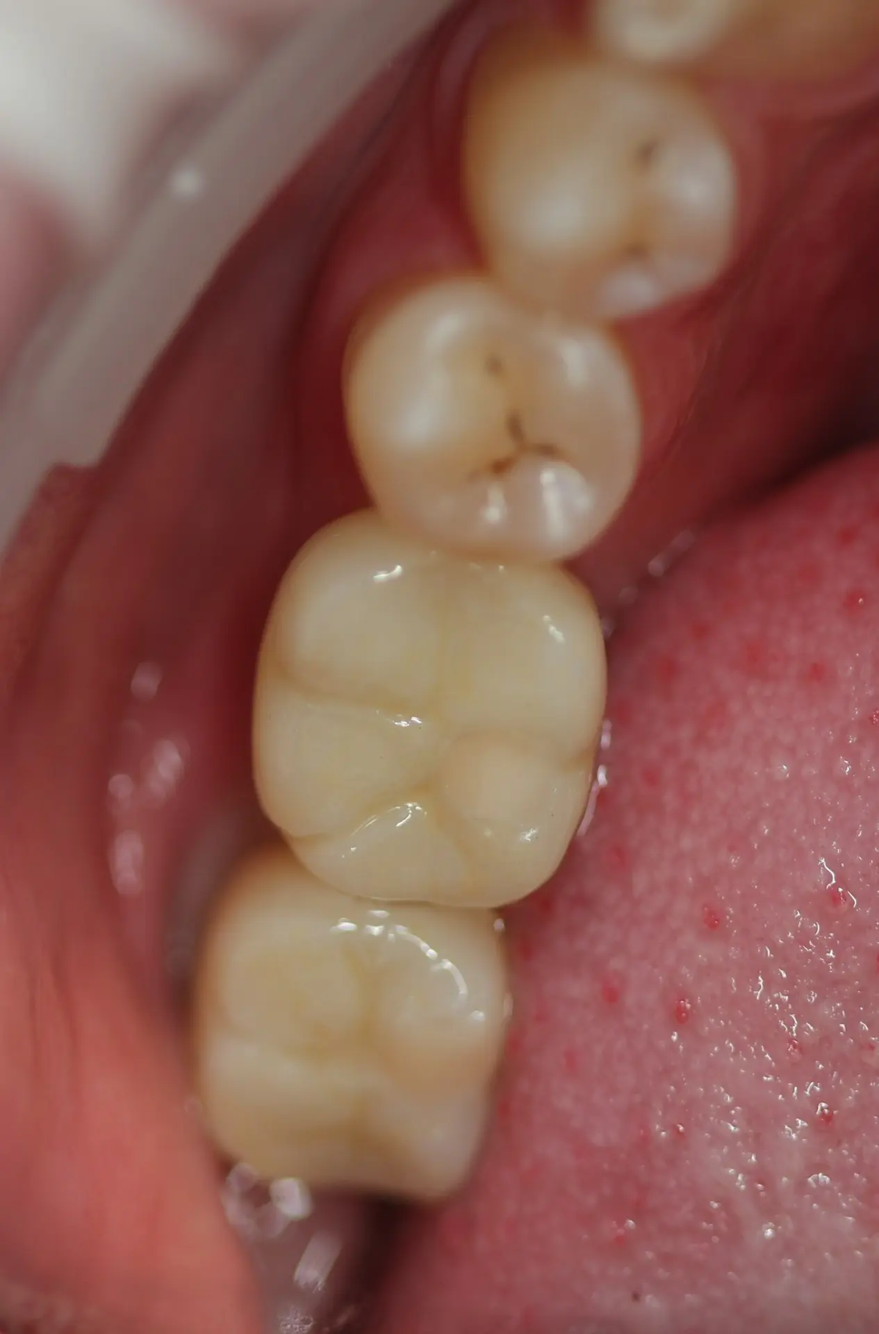
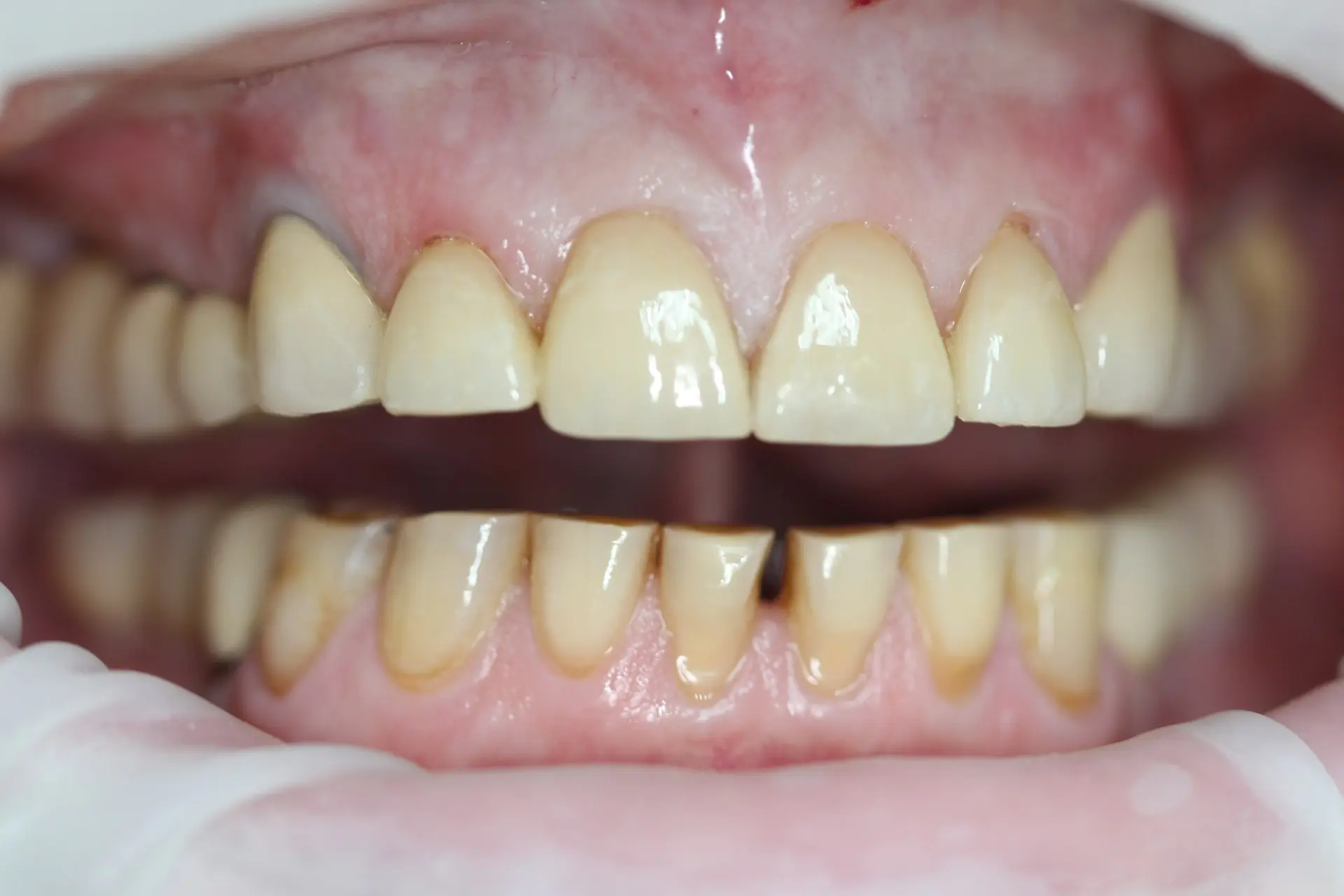
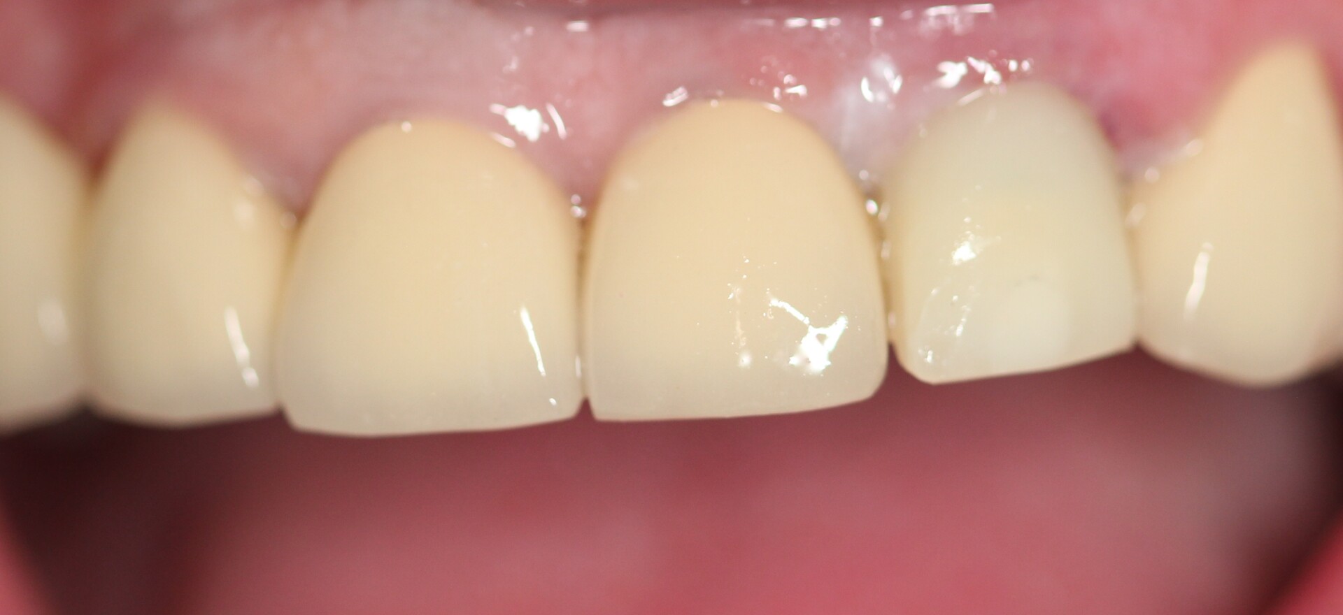
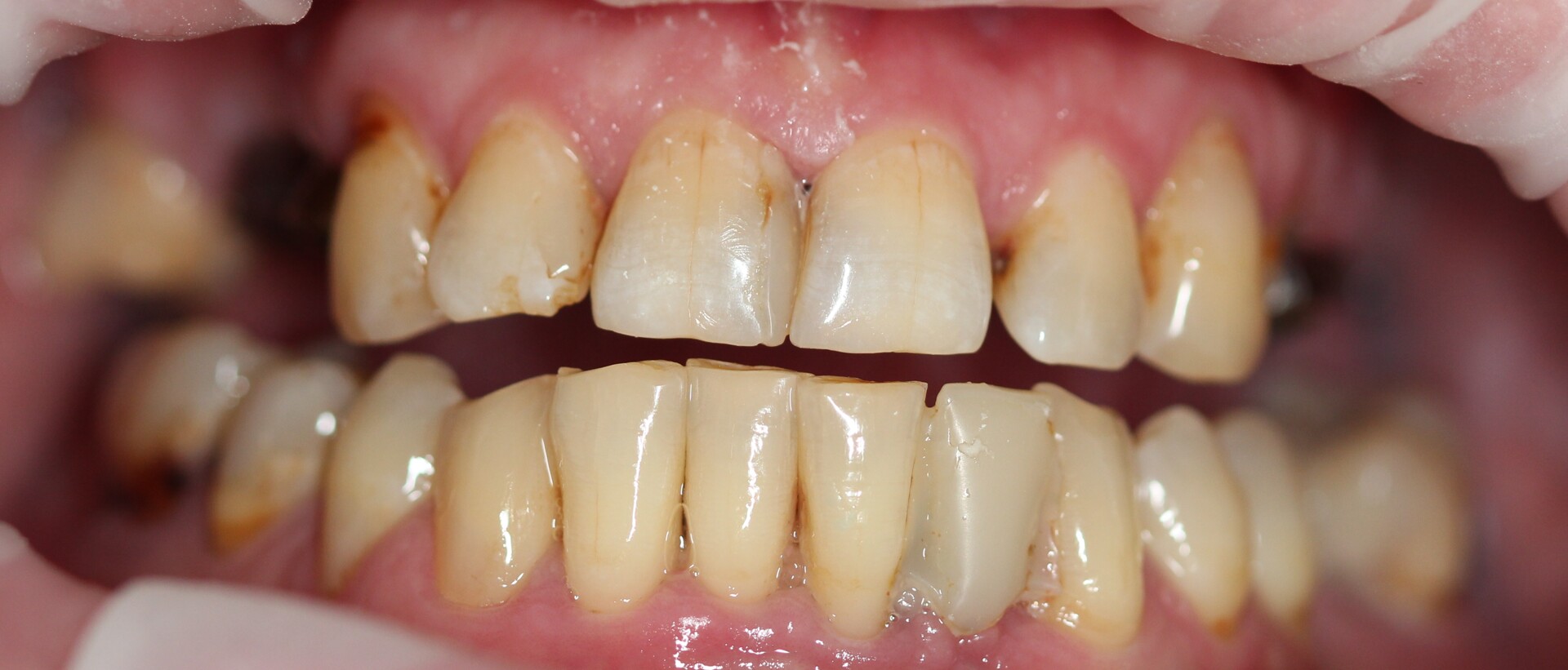
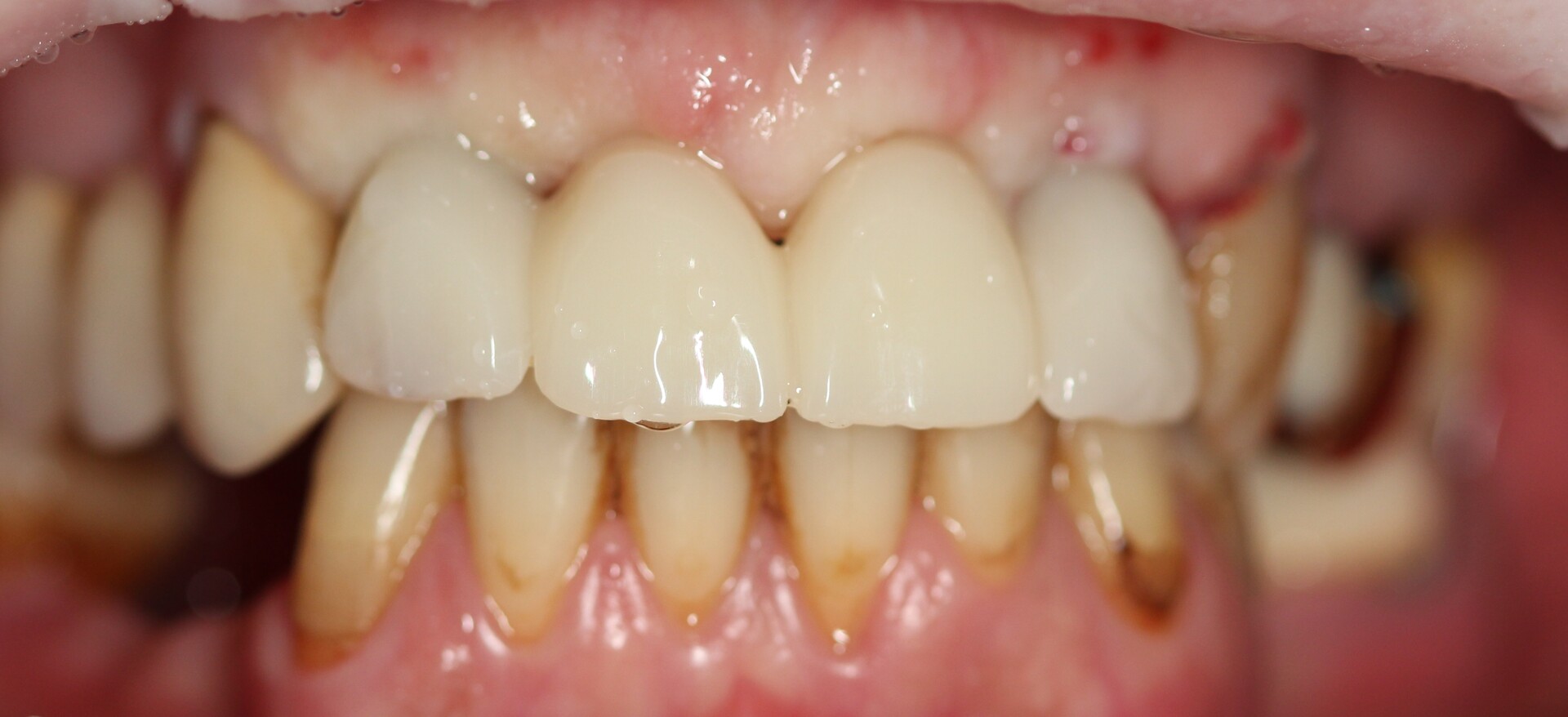
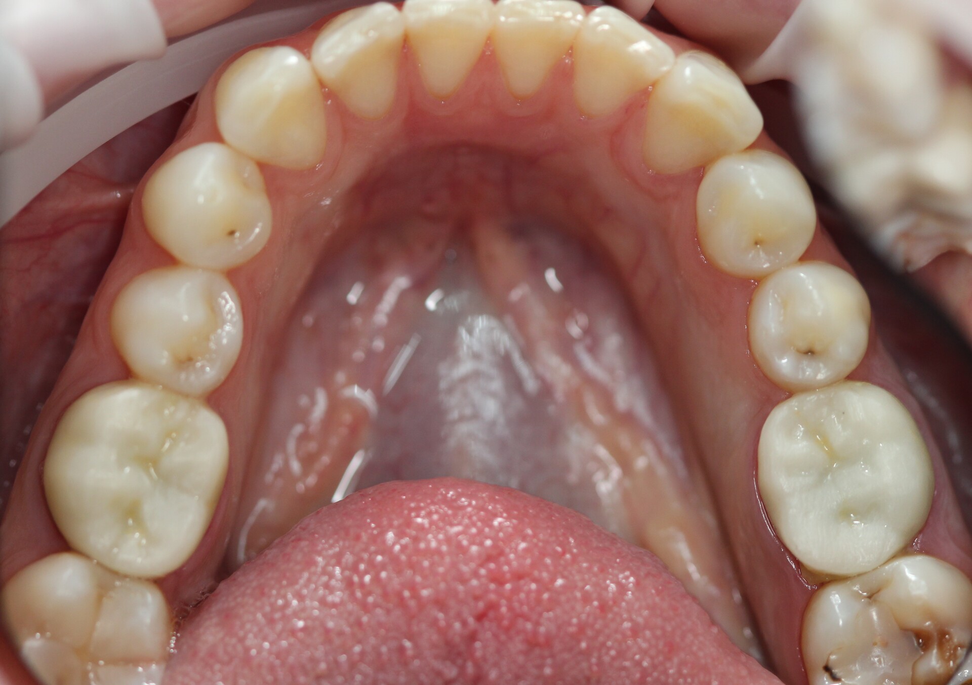
Наши работы
Оставайтесь на связи с Леда+
- Истринский р-н, п. Павловская Слобода ул Луначарского 8а
- ledastom@mail.ru



Спасибо огромное всему коллективу! Прекрасные специалисты, замечательные люди, очень внимательное и профессиональное отношение к пациентам.